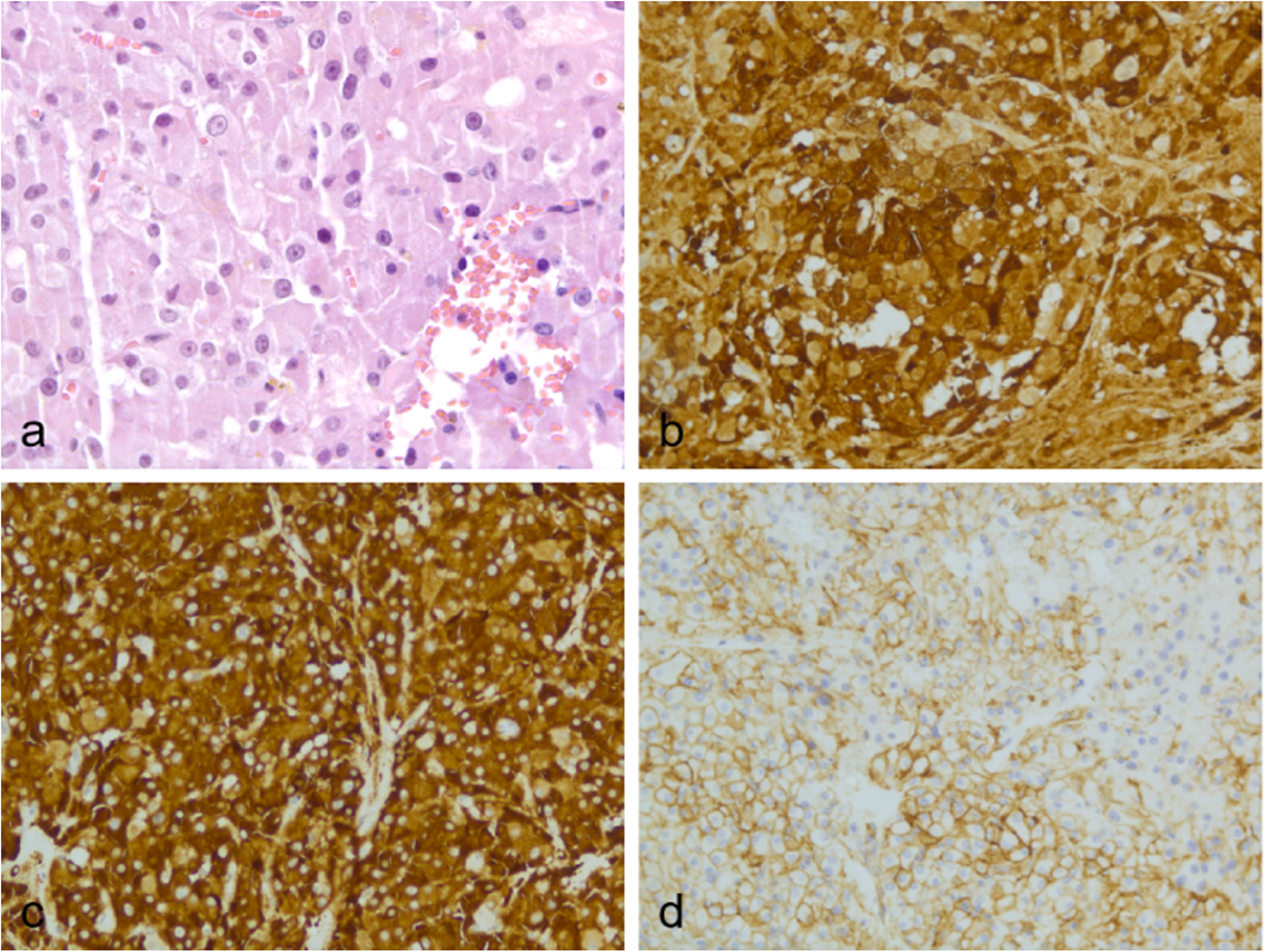
Fig. 4From: Ovarian sex cord stromal tumours: analysis of the clinical and sonographic characteristics of different histopathologic subtypesPathological findings confirmed LCT in the 69-year-old woman’s right ovarian. a HE results; b the result showed calretinin positive; c the result showed inhibin positive; d the result showed CD99 positiveBack to article page