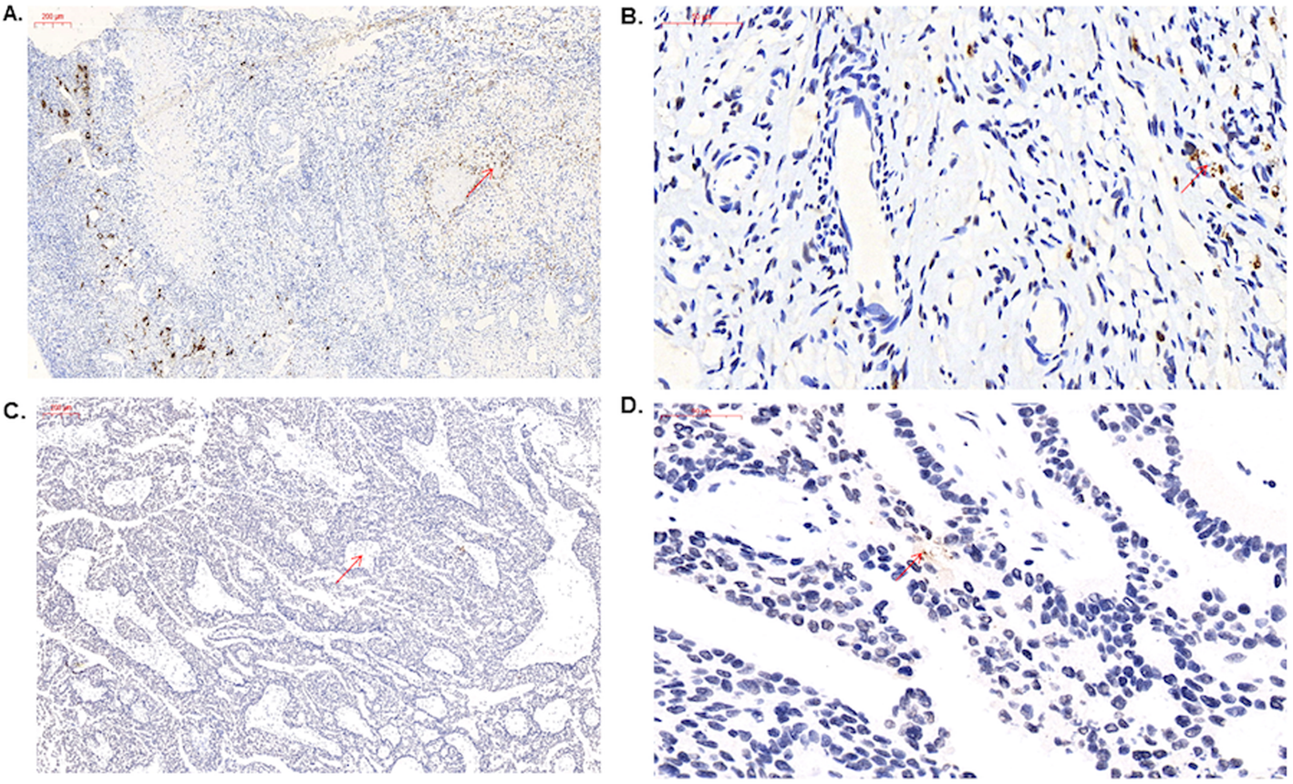
Fig. 1
From: The differential distribution of bacteria between cancerous and noncancerous ovarian tissues in situ

BugBase analysis of predicted metagenomes. The potentially pathogenic and immunohistochemistry of ovaries using an antibacterial LPS antibody. a control group (10x). Scale bars, 200 μm. b control group (40x). Scale bars, 50 μm. c cancer group (10x). Scale bars, 200 μm. d cancer group (40x). Scale bars, 50 μm. Arrows point to LPS staining in the ovarian tissue